Various sources
on the internet are reporting that the Tennessee Titans quarterback, Jake
Locker suffered a foot injury in the team’s game on Sunday against the
Jacksonville Jaguars.
It was announce
that locker hurt his foot in the second quarter and is highly doubtful to play
against the Colts on Sunday.
It is reported
that Locker said “I don’t know exactly how it happened, but when I got up from
that run I could feel it.
A Lisfranc injury, name after the French surgeon Jacques
Lisfranc de St. Martin is damage to the foot that causes metatarsals to be
dislocated from the tarsal bones. This usually involves the ligament that holds
the medial cuneiform to the second metatarsal base. These injuries can range
from a ligament rupture to multiple bone dislocations at the tarso-metatarsal
joints. The patient usually have an
injury of twisting or crushing of the foot such as motor vehicle accidents.
Usually the patient remembers the injury but is possible
that the patient may not be aware at the time of the injury that he has been
hurt.
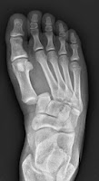
![]() |
| Figure 3 |
![]() |
| Figure 1 |
![]() |
| Figure 2 |
The patient from figure 1 had no
idea how he injured his foot but he has significant and multiple injuries.
The patient from figure 2
definitely knew he had an injury.
The patient in figure 3 knew he
had injured himself and sometimes injuries such as these are not recognized in
the emergency room.
For significant injuries such as
figure 1 and 2 an open reduction with fixation is required to put the bone back
where they are supposed to be and to allow healing. The following two pictures
are examples of severe injuries requiring surgery to fix the fractures.
![]() |
| Figure 4 |
![]() |
| Figure 5 |
A less complex repair is seen
below and is used for primarily ligament rupture and less extensive fractures.
![]() |
| Figure 6 |
In all of the cases shown bone
healing is the limiting factor for returning to activities.
When it is reported that this
injury can be season ending for Locker, it comes as no surprise. It is usually
6 to 8 weeks of non weight bearing required for healing to complete for these
injuries.
The podiatric surgeons at
Gulfcoast foot and ankle care are well versed at the diagnosis and treatment of
midfoot fractures.
If you have an injury and would like to be treated at Gulfcoastfoot and ankle call 239 566 8800 for an appointment.





